Endometrial ossifikasyon uterus içerisinde endometriumda kemiksi yapı izlenmesidir, çok nadir görülen bir patolojidir. Genellikle infertilite veya menoraji nedeniyle yapılan incelemeler sırasında teşhis konur. Endometrial biyopsi veya histerektomi materyalinin histopatolojik incelemesinde tanı konulabilir. Endometrial kavitedeki ossifikasyon bazen ultrasonografide ve makroskopik incelemede görülebilirken bazen sadece mikroskopik histopatolojik incelemede farkedilebilir.
Genellikle reprodüktüf çağda görülmekle beraber postmenopozal dönemde bildirilen nadir vakalar vardır (kaynak), linkte belirtilen hasta aşırı vajinal akıntı şikayetiyle başvurmuştur. Menoraji, infertilte, pelvik ağrı en sık görülen belirtilerdir. Tamamen asemptomatik de olabilir. Abortusa neden olabilir, özellikle abortus hikayesi olan infertil hastalarda akılda bulundurulmalıdır, infertilite etyolojisinde rol alan nadir nedenlerden birisidir (kaynak 1, 2).
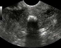
Ultrasonografide RİA benzeri görüntü oluşturabilir (kaynak). Endometrial tüberküloz da kavitede kalsifikasyona ve infertiliteye neden olabilmesi ile endometrial ossifikasyonla benzerlik gösterebilmektedir. Abortus sonrası uterin kavitede kalan fetusa ait bazı parçalar da benzerlik gösterebilmesi açısından anamnezde abortus sorgulanmalıdır.
Endometrial ossifikasyonun oluşum mekanizması 3 şekilde olabilir:
- Kronik endometrit
- Abort sonucu endometrial kavitede kalan materyallerin kalsifikasyonu
- Müllerian orijinli hücrelerin metaplazisi sonucu (Endometriumun osseoz metaplazisi)
Kemikleşme gösteren dokunun genetik incelemesinin anne ile karşılaştırılması sayesinde dokunun eski bir gebelikteki fetusa ait parçanın ossifikasyonuna bağlı geliştiği (kaynak) veya anneye ait hücrelerin metaplazisine bağlı geliştiği (kaynak) gösterilebilmektedir.
Histopatolojik açıdan önemi benzer şekilde ossifikasyon gösterebilen malign mixed müllerian tümör ile karıştırılmaması gerektiğidir. Endometrial ossifikasyon non-neoplastiktir.
Tedavi:
Makroskopik kemik yapılarının izlenebildiği durumlarda histeroskopik rezeksiyon çoğunlukla mümkün olabilmektedir (kaynak 1, 2). İnfertil hastalarda histeroskopik rezeksiyon sonrası gebelik izlenebilmektedir (kaynak). Bir yayında tekrarlayan histeroskopik rezeksiyonlardan dolayı oluşan endometrial hasar nedeniyle sonraki gebelikte plasenta akreata/previa meydana gelebileceği bildirilmiştir (kaynak).
Histeroskopi imkanı olmayan hallerde dilatasyon küretaj ile kavite osseöz yapılardan temizlenebilir.
Topics: endometrial ossifikasyon
Yazar Ebruli
Menopoz, İnfertilite (Kısırlık), Gebelik ve takibi, Riskli gebeliklerin tespiti, Doğum, Cinsel yolla bulaşan hastalıklar,Cinsel problemler (Vajinismus), Genital Estetik, Vaginoplasti (Vagina daraltma), Labioplasti (İç dudakların düzeltilmesi), Kızlık Zarı, Adet Düzensizlikleri, Kürtaj, Jinekolojik hastalıklar, Kanserler ve Tüp Bebek konusunda hizmet veren Op.Dr.Cansu Bozkurt şu an kendi özel muayenehanesinde görev yapmaktadır.
Gebelik Haftası Hesaplama
Yumurtlama Günü Hesaplama
Çin Takvimine Göre Cinsiyet Hesaplama
Alınacak Kilo Hesaplama